With modern orthodontics, braces are more comfortable, discreet, and effective than ever before. Whether you’re a teenager, young adult, or working professional, we have a personalized braces treatment plan just for you.
Imagine finally feeling confident when you smile, knowing your teeth look perfectly straight.
Fill out the form below and our dental team will contact you to confirm your appointment.
Dental Surgeon
Precision Dental Clinic
Dental Surgeon
Precision Dental Clinic
Dental Surgeon
Precision Dental Clinic
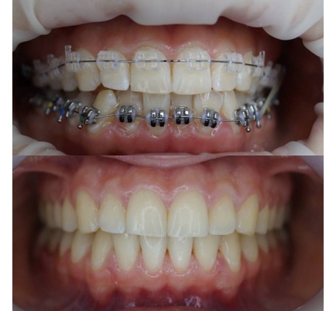
Every smile tells a story — and these transformations are proof that the right orthodontic care can change lives. Our patients come to us feeling self-conscious about their teeth, and they leave with confidence, happiness, and smiles they can’t stop showing off.




Most patients complete treatment in 12 to 24 months, depending on your case.
Modern braces are much more comfortable than before, and we provide tips to manage any initial discomfort.
Absolutely! We offer traditional braces, ceramic braces, and clear aligners.
Yes — we offer flexible monthly plans to make treatment affordable for everyone.
Imagine looking in the mirror and loving the smile that looks back at you. No more hiding in photos, no more feeling self-conscious when you laugh, and no more holding back your confidence.
With the right braces, you can have the straight, beautiful smile you’ve always dreamed of — and the freedom to live, laugh, and smile without hesitation.
Copyright 2025, Precision Dental Clinic, All Rights Reserved!