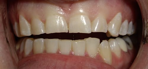
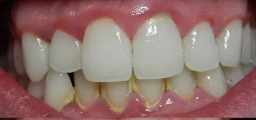
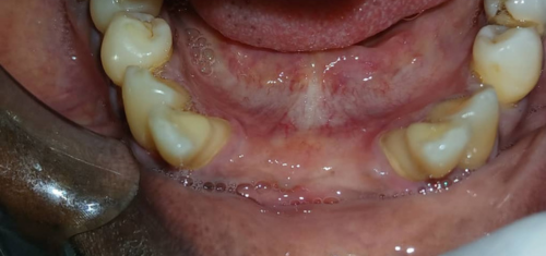
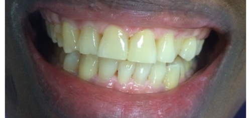
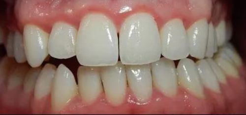
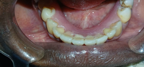
Before And After Dental Treatment
Your smile tells your story — let it shine brighter. At Precision Dental Clinic, we’ve helped countless patients transform their smiles through expert care, advanced technology, and a gentle touch.
Before / After
From stained or misaligned teeth to a radiant, confident smile, our results speak for themselves. See the difference professional dental treatment can make — and imagine what we can do for you.
Dental Implants

Full Mouth Rehabilitation

Crowns & Bridges

Teeth Whitening

Teeth Cleaning (Scaling & Polishing)

Braces & Invisalign

Dentures

Tooth Fillings

Kind Words From
Our Patients
- Gustav Sikia
- Peter oketch
I went in for a toothache and left with a plan to improve my whole dental health. They care about long-term results, not just quick fixes. Highly recommended
- Stella N
Why Trust Precision Dental Clinic?
We combine expertise, technology, and a patient-first approach to deliver exceptional care.
- Transparent Pricing, Always
- Gentle, professional care trusted by families, individuals, and corporate clients in Kampala.
- Free online consultation when you book through our website.
Visit Us
We welcome both walk-in patients and those with scheduled appointments. Free parking is available on-site for your convenience, and our clinic is easily accessible by public transport. Whether it’s a quick check-up or a detailed consultation, our doors are always open to care for your smile.
- Plot 62 block 29, Mawanda road
- Mon - Saturday 8:30am - 7:00pm
- Phone: +256 744252201 (Call or WhatsApp)
- Email: precisiondental97@gmail.com
Ready To Improve Your Smile?
Schedule your free online consultation today and discover why so many in Kampala trust Bright Smiles Dental Clinic for their dental care. We look forward to welcoming you and your family!
